혓바닥이 갈라지는 이유
2020. 10. 28. 23:45ㆍ생활정보
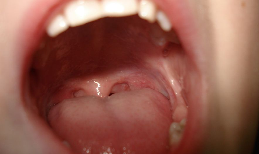
혓바닥이 갈라지는 이유 증상
혓바닥이나, 혀 가운데가 갈라지는 증상이 있는분들 계신가요?
오늘은 혓바닥, 혀 가운데가 갈라지는 이유와 증상에 대하여 알아보도록 할게요.
대부분 혓바닥이 갈라지는 증상이나, 혀 가운데가 갈라지는 증상은 구내염을 의심할 수 있습니다.

혓바닥이 갈라지는 이유, 혀 가운데가 갈라지는 이유는 스트레스, 수면부족, 과로, 영양장애, 비타민 or 영양 부족, 위장장애, 면역력저하, 유전적인 요소 등으로 발생할 수 있으며,
어쩌다 한번이라면 영양부족이나 스트레스가 이유 등으로알고 고루 영양을 섭취하거나 충분한 휴식을 취하여 컨디션을 회복하는것이 좋겠지만
반복적으로 혓바닥이 갈라지거나, 혀 가운데가 갈라지는 증상이 나타난다면 이는 단순히 구내염 약을 바른다고 해결되는 것이 아니라 가까운 전문병원을 찾아 치료를 받고 자세한 사항을 상의하고 원인을 찾아 치료를 받는것이 좋겠습니다.
모든 병이 그렇듯이 방치하게 되면 병이 더 커지기 마련입니다.